Data Description

COVID-CTPRED project

Overview


Patients cohort data (chest-CT images and CRF metadata) were collected in a regional COVID reference University Hospital center (CHU Saint-Etienne, France).
Study inclusions criteria are:age ≥18 years, clinical suspicion with respiratory signs of COVID19 requiring hospitalization, Chest-CT at ER admission, RT-PCR sampling, and written informed consent.

Longitudinal data are collected from the emergency department (ER) admission time point until patient discharge (follow-up duration :1 month). Note that the number of CT-scans and metadata may vary depending on patient’s clinical course.

Live detailed statistics are available of the image database as well as the nature of the imaging and corresponding metadata available.

Use and publication policies
The COVID-CTPRED clinical trial database contains pseudonymized data (images, clinical and biological metadata)(“DATABASE”). The authorization to access and exploit the results extracted and/or calculated from the DATABASE is conditional to the implicit agreement with the following points:

1) Authorized users are not allowed to redistribute in any form the data from the COVID-CTPRED database.
2) Citation rules when publishing any results obtained from the latter. See the FAQ section here Any inquiries should be directed to the sponsor representative (Pr P.Croisille, Chairman of Radiology and Nuclear Medicine, CHU Saint-Etienne mail)

To ensure that patients' rights and the internal policy of CHU St-Etienne are respected, this database is made available to the scientific community in a secure manner. To do this, it is necessary for people wishing to participate in this project to identify themselves to the CREATIS laboratory before being able to access the public part of the database.

Database Description & Content


Chest-CT Imaging

Admission and subsequent CTs during hospitalization:

  • Performed on a multi detector CT scanner (Definition DS, Siemens Healthineers, Erlangen, Germany)

  • Admission CT are using the enhanced chest CT protocol “SIV”, see protocol variants (if without contra-indication and cooperation +)

  • Follow-up CT(s) are performed if clinically required using either the “SI” or “S” protocol

Naming convention: CHUSE_COVID_CTPRED-F1_Patient_F2_F3
F1: Protocol variant (S, SI, or SIV)
F2: 4-digits unique patient number
F3: 1-digit incremental CT index during follow-up (n=1 to 5)

Protocol Variants

  • “S”: plain chest CT only – default COVID CT protocol (end-inspiration, non-injected) for parenchymal abnormalities detection (apex to diaphragm, matrix:512*512, parenchyma: thk 1mm - kernel B70f / mediastinal recon: 2mm - kernel B30f)

  • “SI”: S + iodin contrast injection chest CT (lung and mediastinal recon.) to add pulmonary vascular tree abnormalities detection (matrix 512*512, parenchyma: thk 1mm - kernel B70f / mediastinal recon: 1mm - kernel B40f)

  • “SIV”: S + I + end-expiration non-injected chest CT (lung and mediastinal recon.) to add ventilation maps for CTVI calculation (apex to diaphragm, matrix:512*512, parenchyma: thk 1mm - kernel B70f / mediastinal recon: 2mm - kernel B30f) Typical SIV exam size: ~3000 images / 1.5Gb

Biological & Clinical Database

Clinical report form (CRF) data are collected on a REDCAP internal server and exported in csv format.

Data includes: comprehensive personal and medical history, medications, admission vital signs, pulmonary xray/CT/US results, admission biology / blood gas / PCR, patient initial outcome, ICU hospitalization data (admission/mid- /end-stay (vital signs, biology, blood gas, pulm.assistance parameters(@ followup time-points: J0,J4,J7,J14J21,J28)), chest CT findings, outcome at J30.

Statistics


Chest-CT Imaging

  • Total Database Size:
  • Collection Period:
  • Resolution Original CT: 512 x 512
  • Total Original CT-Scans:
  • Total Patients:
Patient Distribution number of exams

Protocol variants

As explained just above, there are three protocol variants.

Each patient may have one or more variants. This graph shows the distribution of samples by type of variants.

Patient distribution of protocol variants

Biological & Clinical Database

  • Gender : Males, Females,
  • Age average: y.o.
    [ - y.o.]
  • Hospitalization (USC) rate: %


Proportion of Patient with COVID

Public Part of the Dataset


Image Data Information

Dataset information
  • Size:
  • Number of Patients:
  • Format Availables:
    Images (nifti), orginal resolution 512x512x n

All public samples are from SIV protocol variants and corresponds to a first exam.

Clinical Data Information

Clinical data on these patients were randomised for confidentiality reasons.


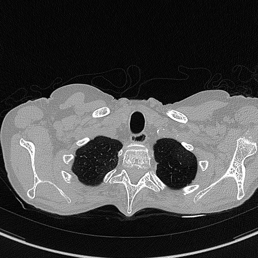
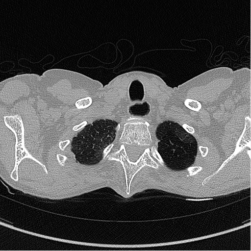
Example of CT Scan



The images below are examples of different acquisition for a sample subject that did a full exam.

exemple exemple

Inspiration acquisition without injection. Left mediastin reconstruction, rith parenchyme reconstruction.

exemple exemple

Expiration acquisition without injection. Left mediastin reconstruction, rith parenchyme reconstruction.